Product Center

产品中心

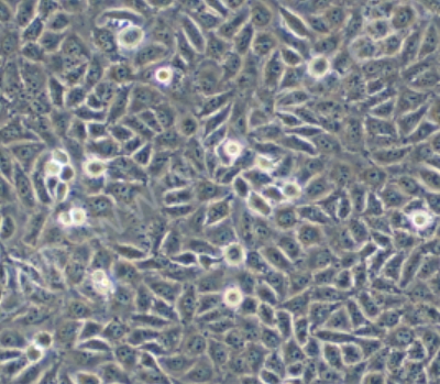
JF-305(人胰腺癌细胞)

货号:HY-A158

英文名称:Human Pancreatic Cancer Cells
规格:1x10^6cells/T25或1mL冻存管

一、基本信息

1. 产品编号:HY-A158

2. 细胞名称:JF-305(人胰腺癌细胞)

3. 英文名称:JF-305 Human Pancreatic Cancer Cells

4. 细胞别称:JF-305

5. 种属来源:人(Homo sapiens)

6. 组织来源:胰腺腺癌组织

7. 细胞类型:上皮细胞样

8. 生长特性:贴壁生长

9. 产品规格:1×10⁶cells/T25培养瓶

10. STR鉴定:已通过STR鉴定,确保遗传一致性和无交叉污染

11. 储存条件:液氮保存

12. 运输方式:常温运输

二、细胞特征

1. 背景特征:来源于胰腺腺癌组织,典型的上皮样细胞形态,经过STR鉴定,保证细胞株纯度和遗传稳定性。

2. 生物学特性:贴壁生长特性,适用于胰腺癌相关研究,保持胰腺癌细胞的特异性标志物表达

三、培养条件

1. 基础培养基:RPMI 1640

2. 添加成分:10%胎牛血清(FBS)+ 1%青霉素-链霉素(P/S)

3. 培养环境:37℃,95%空气 + 5% CO₂

4. 传代比例:1:3

5. 传代频率:每2-3天一次

6. 完全培养基:JF-305专用完全培养基

7. 培养方案:推荐培养体系:RPMI 1640基础培养基、10%优质胎牛血清、1%青霉素-链霉素双抗溶液、37℃恒温培养,5% CO₂环境

四、质量保证

1. STR鉴定:提供完整的STR鉴定报告

2. 支原体检测:阴性

3. 细胞活性:复苏后活性>90%

4. 无菌检测:细菌、真菌检测阴性

5. 代次保证:10代以内

五、培养操作指南

1. 细胞复苏:快速解冻冻存细胞(37℃水浴),离心去除冻存液,重悬于完全培养基中,接种于培养瓶,37℃培养,24小时后更换新鲜培养基。

2. 细胞传代:吸弃旧培养基,PBS清洗细胞,加入适量胰蛋白酶消化,显微镜下观察细胞形态变化,加入完全培养基终止消化,离心收集细胞,按1:3比例传代。

六、主要应用

1. 胰腺癌研究:胰腺癌发生机制研究、肿瘤增殖与转移机制、药物敏感性实验

2. 分子生物学研究:癌症相关基因功能研究、信号通路分析、生物标志物鉴定

3. 药物筛选:抗胰腺癌药物开发、化疗药物敏感性测试、靶向治疗药物评价

七、注意事项

1. 收到细胞后立即检查包装完整性

2. 严格按照说明书要求进行细胞培养

3. 定期进行细胞形态观察和状态评估

4. 建议使用配套的JF-305完全培养基

5. 仅限于科研用途,不可用于临床诊断和治疗


请先填写以下信息
JF-305(人胰腺癌细胞)
电话:13716641996 地址:西安市高新区沣惠南路20号华晶商务广场B座19层1907室
西安禾洋生物科技有限公司 陕ICP备2025067187号 网站建设:鼎诚网络

扫码关注我们