Product Center

产品中心

Y79(人视网膜母细胞瘤细胞)

货号:HY-A252

英文名称:Human Retinoblastoma
规格:1x10^6cells/T25或1mL冻存管

一、基本信息

1. 产品编号:HY-A252

2. 细胞名称:Y79人视网膜母细胞瘤细胞

3. 组织来源:人视网膜肿瘤组织(2.5岁白人女性)

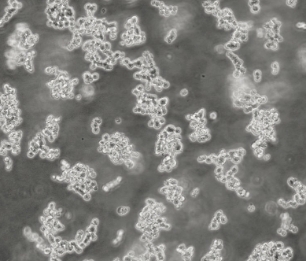
4. 细胞特征:悬浮生长,圆形、成簇细胞样

5. 产品规格:1×10⁶cells/T25培养瓶或1mL冻存管

二、细胞特征

1. 形态特征:球形细胞,形成葡萄串状多细胞聚集体,悬浮生长特性。

2. 生物学特性:遗传特征:RB1基因部分缺失

                          染色体特征:多倍体,具有双着丝粒、断裂、粉碎和分钟染色体异常

                          超微结构:核膜内折、三层膜结构、大的被膜小泡、环孔板等

                          同工酶特征:AK-1(1), ES-D(1), G6PD(B), GLO-I(2), PGM1(1)

3. 质量检测:STR鉴定:提供完整STR鉴定报告

                      病原检测:支原体、细菌、真菌检测均为阴性

三、培养条件

1. 培养基:RPMI-1640 + 20% FBS + 1% P/S

2. 培养条件:37℃,5% CO₂,95%空气

3. 生长特性:悬浮生长

四、主要应用

1. 科研领域:视网膜母细胞瘤基础研究、药物筛选评价、肿瘤发生机制研究。

五、产品优势

1. 研究价值:具有肿瘤形成能力(可在软琼脂中生长,能在兔子体内引发肿瘤)。

六、培养方法

1. 传代特性:密度80%-90%时传代,比例1:3至1:4

2. 培养周期:每周传代2-3次,建议使用10代以内细胞

3. 冻存条件:无血清冻存液,液氮储存

七、注意事项

1. 生长特性:细胞自然聚集成团,切勿人为分散

2. 使用限定:仅限科研用途,不可用于疾病治疗

3. 生物安全:BSL-1级别


请先填写以下信息
Y79(人视网膜母细胞瘤细胞)
电话:13716641996 地址:西安市高新区沣惠南路20号华晶商务广场B座19层1907室
西安禾洋生物科技有限公司 陕ICP备2025067187号 网站建设:鼎诚网络

扫码关注我们