Product Center

产品中心

HFSF(人胚胎眼巩膜成纤维细胞)

货号:HY-A490

英文名称:Human embryonic scleral fibroblasts
规格:1x10^6cells/T25或1mL冻存管

一、基本信息

1. 产品编号:HY-A490

2. 细胞名称:HFSF人胚胎眼巩膜成纤维细胞

3. 细胞别称:HFSF-PI3;HFSF

4. 组织来源:人胚胎眼巩膜组织

5. 细胞类型:成纤维细胞

6. 生长特性:贴壁生长

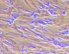
7. 细胞形态:成纤维细胞样

8. 产品规格:1×10⁶cells/T25或1mL冻存管

二、细胞特征

1. 形态特征:典型成纤维细胞样形态,贴壁培养生长。

2. 生物学特性:背景来源:由北京眼科研究所建系

                          细胞代数:10代以内

                          来源机构:中国医学科学院基础医学研究所细胞资源中心

3. 质量检测:STR鉴定:已完成完整STR位点分析

                     支原体检测:无支原体污染

三、培养条件

1. 基础培养基:DMEM-H

2. 添加成分:20% FBS + 1% PS

3. 培养环境:37℃,95%空气+5% CO₂

四、主要应用

1. 科研领域:巩膜组织生理功能研究、眼部发育生物学研究、眼科疾病机制探索。

五、产品优势

1. 质量保证:来源于国家细胞资源库、严格的质控体系、完整的STR鉴定数据。

六、培养方法

1. 传代比例:1:2至1:3

2. 传代频率:每周2-3次

3. 消化方法:0.05%Trypsin-0.02% EDTA消化

七、注意事项

1. 使用限定:仅限于科学研究,不可作为疾病治疗产品使用

2. 细胞接收:收到后需立即观察细胞状态并拍照记录

3. 售后服务:提供专业技术支持和服务保障


请先填写以下信息
HFSF(人胚胎眼巩膜成纤维细胞)
电话:13716641996 地址:西安市高新区沣惠南路20号华晶商务广场B座19层1907室
西安禾洋生物科技有限公司 陕ICP备2025067187号 网站建设:鼎诚网络

扫码关注我们