Product Center

产品中心

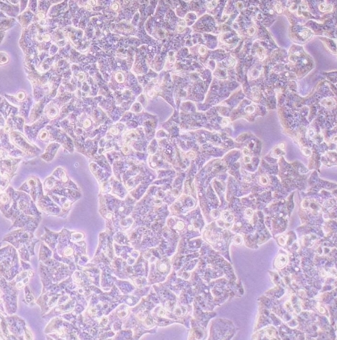
LS180(人结肠癌细胞)

货号:HY-A312

英文名称:Human Colon Cancer Cells
规格:1x10^6cells/T25或1mL冻存管

一、基本信息

1. 产品编号:HY-A312

2. 细胞名称:LS180(人结肠腺癌细胞)

3. 细胞别称:LS-180; LS 180

4. 种属来源:人(Homo sapiens)

5. 组织来源:结肠癌组织

6. 细胞类型:上皮细胞样

7. 生长特性:贴壁生长

8. 产品规格:1×10⁶ cells/T25培养瓶或1mL冻存管

9. 生物安全等级:BSL-1

10. 保藏机构:ATCC CL-187;ECACC 87021202

11. 储存条件:液氮保存

12. 运输方式:T25培养瓶(常温)或冻存管(干冰)

二、细胞特征

1. 形态特征:典型上皮细胞样形态

                      贴壁生长,形成单层细胞片

2. 功能特性:可产生癌胚抗原(CEA)

                       分泌IL-10、IL-6等细胞因子

                       产生黏液素,适合肠道细胞功能研究

3. STR鉴定:完成16个STR位点分析,结果明确

                     提供完整的STR鉴定报告

四、培养条件

1. 基础培养基:MEM(Minimum Essential Medium)

2. 添加成分:10%胎牛血清(FBS)+1%青霉素-链霉素(P/S)

3. 培养环境:37℃,95%空气+5% CO₂

4. 传代比例:1:2至1:3

5. 传代频率:每周3次

6. 消化方法:0.25%胰蛋白酶-0.53mM EDTA消化液

五、特殊培养要求

1. ATCC原始推荐:不建议使用胰酶消化,可通过敲打培养瓶使细胞脱落

2. 本公司改良方法:采用胰酶消化方式收集细胞,操作更简便,细胞状态更佳

六、主要应用

1. 结肠癌研究:结肠腺癌发生机制研究、肿瘤转移模型建立

2. 药物研发:抗癌药物筛选与评价、药物转运机制研究

3. 分子生物学研究:肠道细胞分化研究、细胞因子信号通路分析

4. 质量保证:STR鉴定:提供完整STR分型报告

                      支原体检测:阴性

                      代次保证:10代以内

                      细胞活性:复苏后活性>90%

七、培养操作指南

1. 细胞复苏:37℃水浴快速解冻,1000rpm离心3分钟;重悬后接种培养,第二天换液。

2. 细胞传代:密度达80-90%时传代;胰酶消化1分钟,显微镜下观察消化情况;按1:2比例分瓶培养。

3. 细胞冻存:使用无血清冻存液;细胞密度5×10⁶~1×10⁷/mL;-80℃过渡后液氮保存。

八、注意事项

1. 运输培养基不可用于继续培养。

2. 首次传代建议1:2比例。

3. 严格按照推荐培养条件操作。

4. 建议使用配套专用培养基和试剂。


请先填写以下信息
LS180(人结肠癌细胞)
电话:13716641996 地址:西安市高新区沣惠南路20号华晶商务广场B座19层1907室
西安禾洋生物科技有限公司 陕ICP备2025067187号 网站建设:鼎诚网络

扫码关注我们