Product Center

产品中心

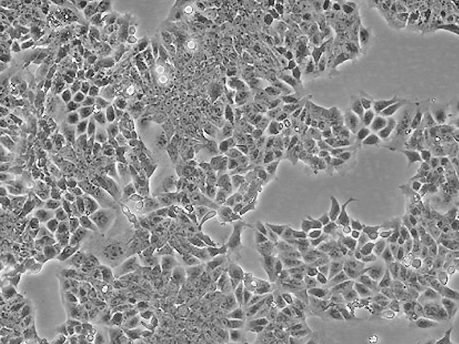
HCT-15(人结肠癌细胞)

货号:HY-A100

英文名称:Human Colon Cancer Cells
规格:1x10^6cells/T25或1mL冻存管

一、基本信息

1. 产品编号:HY-A100

2. 细胞名称:HCT-15(人结肠癌细胞)

3. 细胞别称:HCT15

4. 种属来源:人(Homo sapiens)

5. 组织来源:男性Dukes' C期直肠癌患者大肠组织

6. 细胞类型:上皮细胞样

7. 生长特性:贴壁生长

8. 产品规格:1×10⁶ cells/T25培养瓶或1mL冻存管

9. 生物安全等级:BSL-1

10. 保藏机构:ATCC CCL-225;DSMZ ACC-357

11. 储存条件:液氮保存

12. 运输方式:T25培养瓶或冻存管运输

二、细胞特征

1. 形态特征:典型上皮细胞样形态;多角形细胞形态;贴壁生长特性。

2. 遗传特征:准二倍体细胞系(76%细胞染色体数为46)

                       核型:46, XY, -8, -11, -17, t(8:17)(p23), inv(11)(p15.3q13.1)

                       Y染色体长度较N22稍长,q臂末端有大段异色荧光

3. 功能特性:癌胚抗原(CEA)表达量:5.4ng/10⁶个细胞/10天

                       角蛋白免疫过氧化物酶染色阳性

                       CSAp阴性(CSAp-)

                       纳依赖性载体介导甘油转运

三、培养条件

1. 基础培养基:RPMI-1640

2. 添加成分:10%胎牛血清(FBS)+1% L-谷氨酰胺

3. 培养环境:37℃,5% CO₂

4. 传代比例:1:3

5. 传代频率:每2-3天传代一次

6. 消化方法:0.25%胰蛋白酶-EDTA消化3-5分钟

四、特殊特性

1. 致瘤性:裸鼠皮下接种10⁷个细胞,21天内100%致瘤(5/5)

2. 同工酶谱:ES-D,2; G6PD,B; PEP-D,1; PGD,A; PGM1,1-2; PGM3,1

3. 转染特性:理想的转染实验宿主细胞

五、主要应用

1. 结肠癌研究:结直肠癌发生机制研究、肿瘤转移模型建立

2. 药物研发:抗癌药物筛选(视黄酸、姜黄素、没食子酸等)、药物转运机制研究

3. 分子生物学研究:甘油转运系统研究、癌症增殖与凋亡机制研究

六、质量保证

1. STR鉴定:提供完整STR分型报告(16个位点)

2. 支原体检测:阴性

3. 代次保证:10代以内

4. 细胞活性:复苏后活性>90%

七、培养操作指南

1. 细胞复苏:37℃水浴快速解冻,1000rpm离心5分钟;重悬后接种培养,及时更换新鲜培养基。

2. 细胞传代:密度达80-90%时传代;胰酶消化3-5分钟,显微镜下观察消化情况;按1:3比例分瓶培养。

3. 细胞冻存:使用含15% DMSO的冻存液;细胞密度适当,液氮保存。

八、注意事项

1. 血清浓度要求:最低10% FBS,不建议使用无血清培养基。

2. 培养过程中定期检查细胞生长状态。

3. 严格遵循无菌操作技术。

4. 建议使用配套专用培养基和试剂。

 


请先填写以下信息
HCT-15(人结肠癌细胞)
电话:13716641996 地址:西安市高新区沣惠南路20号华晶商务广场B座19层1907室
西安禾洋生物科技有限公司 陕ICP备2025067187号 网站建设:鼎诚网络

扫码关注我们